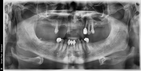
손**님의 치료사례
임상사진은 동일조건으로 촬영되었으며, 사진에 대한 별도의 조작이 처리되지 않았습니다.
위 임상사진 및 포트레이트는 환자와의 포괄적인 초상권 계약 이후 사용하고 있습니다.
수술 및 치료과정에서 부작용이 발생할 수 있으므로 충분한 상담과 신중한 판단이 요구됩니다.
온가주치과 웹사이트 개인정보취급방침
온가주치과은 귀하의 개인정보보호를 매우 중요시하며,
개인정보보호방침을 통하여 귀하께서 제공하시는 개인정보가 어떠한 용도와 방식으로 이용되고 있으며
개인정보보호를 위해 어떠한 조치가 취해지고 있는지 알려드립니다.
개인정보의 수집목적 및 이용목적
병원은 다음과 같은 목적을 위하여 개인정보를 수집하고 있습니다.
서비스의 이행 (경품 등 우편물배송 및 예약에 관한 사항)
장애처리 및 개별 회원에 대한 개인 맞춤서비스
서비스 이용에 대한 통계 수집
기타 새로운 서비스 및 정보 안내
단, 이용자의 기본적 인권 침해의 우려가 있는 민감한 개인정보는 수집하지 않습니다.
병원은 상기 범위내에서 보다 풍부한 서비스를 제공하기 위해 이용자의 자의에 의한 추가 정보를 수집합니다.
수집하는 개인정보 항목
병원은 온라인 상담 등을 위해 아래와 같은 개인정보를 수집하고 있습니다.
수집항목 : 이름 , 핸드폰 번호 , 메일주소, 비밀번호, 서비스 이용기록 , 접속 로그 , 쿠키 , 접속 IP 정보
개인정보 수집방법 : 홈페이지(온라인상담)
제1장 총칙
제1조(목적)
이 약관은 온가주치과의원(이하 "치과"라 함)에서 운영하는 인터넷 홈페이지의 서비스(이하 "서비스"라 한다)를 이용함에 있어 사이트와 이용자의 권리, 의무 및 책임사항을 규정함을 목적으로 합니다.
제2조(용어 정의)
이 약관에서 사용하는 용어의 정의는 다음과 같습니다.
(1) "사이트"라 함은 치과가 컴퓨터 등 정보통신 설비를 이용하여 제공할 수 있도록 설정한 가상의 공간을 말합니다.
(2) "서비스"라 함은 치과의 홈페이지 및 치과가 운영하는 인터넷사이트 등에서 제공하는 인터넷상의 모든 서비스를 말합니다.
(3) "회원(이용자)"이라 함은 본 약관에 동의하고, 인터넷 홈페이지에 로그인하여 본 약관에 따라 치과가 제공하는 서비스를 받는 자를 말합니다.
(4) "운영자"라 함은 서비스의 전반적인 관리와 원활한 운영을 위하여 치과에서 선정한 사람을 말합니다.
(5) "ID"라 함은 회원이 서비스에 제공받기 위하여 본 사이트로 접속할 수 있는 Login 명을 의미합니다.
(6) "비밀번호"라 함은 회원의 비밀보호 및 회원 본인임을 확인하고 서비스에 제공되는 각종 정보의 보안을 위해 회원 자신이 설정하며 회사가 승인하는 영문과 숫자의 혼합 등으로 표기한 암호 문자를 말합니다.
(7) "개인정보"라 함은 당해 정보에 포함되어 있는 성명, 생년월일 등의 사항에 의하여 특정 개인을 식별할 수 있는 정보를 말합니다.
(8) 회원은 회원, 운영자로 구분되며, 각 회원은 다음과 같은 권한을 가지고 있습니다.
(9) 회원의 개인정보는 개인 인증 및 의료서비스 연동 등의 불가피한 사항을 제외하고 절대 사용되지 않습니다.
제3조(약관의 게시 및 변경)
(1) 이 약관은 치과가 서비스 화면에 공지하거나 기타의 방법으로 회원에게 통보함으로써 그 효력이 발생합니다.
(2) 치과는 불가피한 사정이 있는 경우 관계법령을 위배하지 않는 범위에서 본 약관을 개정할 수 있습니다.
(3) 치과는 사정상 변경의 경우와 영업상 중요사유가 발생한 경우에는 이 약관을 변경할 수 있으며, 변경된 약관은 전항과 같은 방법으로 공지 또는 통보함으로써 효력을 발생합니다.
(4) 이 약관에서 정하지 아니한 사항과 이 약관의 해석에 관하여는 관계법령 또는 상관례에 따릅니다.
제4조(서비스의 내용 및 변경)
(1) 치과는 다음의 서비스를 제공합니다.
a. 치과에서 제공하는 일반 안내 서비스
b. 치과 뉴스 메일 서비스
c. 치과 온라인 상담실 /예약 이용 서비스
d. 치과 온라인 회원을 위한 섹션 및 컨텐츠 서비스
e. 기타 치과가 정하는 서비스
(2) 치과는 불가피한 사정이 있는 경우 제공하는 서비스의 내용을 변경할 수 있으며, 이 경우 변경된 서비스의 내용 및 제공일자를 명시하여 서비스 화면에 공지하거나 기타의 방법으로 회원에게 통보합니다.
(3) 치과는 서비스 내용의 변경으로 인하여 이용자가 입은 손해에 대하여 배상하지 아니합니다. 단, 치과의 고의 또는 중과실이 있는 경우에는 그러하지 아니합니다.
제5조(서비스의 중단)
(1) 치과는 시스템 등 장치의 보수점검 및 고장, 일시적 통신장애, 서비스 개발, 시스템 정기점검, 긴급조치 등 불가피한 사유에 의해 서비스 제공이 일정기간 동안 제한 또는 중단될 수 있습니다.
(2) 치과는 제1항의 사유로 서비스 제공이 일시적으로 중단됨으로 인하여 이용자 또는 제3자 가입은 손해에 대하여는 배상하지 아니합니다. 단, 치과의 고의 또는 중과실이 있는 경우에는 그러하지 아니합니다.
제2장 회원의 가입 및 탈퇴
제3장 개인정보의 보호
제6조(개인정보의 수집)
(1) 치과는 본 서비스의 원활한 활용을 위해 필요한 이용자의 신상정보를 수집할 수 있습니다.
(2) 이용자의 개인정보를 수집하는 때에는 이하 각호의 경우를 제외하고는 당해 이용자의 동의를 받습니다.
a. 법률에 특별한 규정이 있는 경우
b. 서비스이용계약의 이행을 위해서 필요한 경우
(3) 치과는 개인정보의 분실, 도난, 유출, 변조되지 아니하도록 안정성 확보에 필요한 기술적 조치 등을 강구해야 합니다.
(4) 제공된 개인정보는 당해 이용자의 동의 없이 목적 외 이용이나 제3자에게 제공할 수 없습니다. 단, 다음의 경우에는 예외로 합니다.
a. 법률에 특별한 규정이 있는 경우
b. 사용자 인증 절차
c. 치과 홈페이지의 원활한 운영 및 통계분석자료로 활용
d. 통계작성ㆍ학술연구 또는 시장조사를 위하여 필요한 경우로서 특정 개인을 식별할 수 없는 형태로 제공하는 경우
제4장 인터넷 진료예약 서비스에 관한 책임의 제한
제7조(진료예약의 신청 및 성립)
(1) 이용자는 홈페이지 상에서 이하의 방법에 의하여 진료예약을 신청합니다.
a. 아이디, 비밀번호, 성명, 주소, 전화번호 등 예약 시 필요사항 입력
b. 치과, 진료과, 의사명, 예약일시 선택
c. 이 약관에 동의한다는 표시
d. 선택 진료인 경우 이에 대한 동의한다는 표시
(2) 치과는 제1항의 예약신청에 대하여 다음 각 호의 사유에 해당하지 않는 한 승낙합니다.
a. 신청 내용에 허위, 기재누락, 오기가 있는 경우
b. 기타 예약신청에 승낙하는 것이 기술상 현저히 지장이 있다고 판단하는 경우
c. 치과 방침에 의하여 특정의사 및 진료에 대해 인터넷 진료예약이 불가능하다고 판단되는 경우
(3) 이용자가 인터넷 진료예약을 이용할 경우 이용자는 다음 사항에 동의함을 인정합니다.
a. 인터넷 진료예약서비스를 통한 예약취소 및 변경은 인터넷 진료예약서비스를 통해 성립된 예약에 한합니다.
제5장 치과 및 이용자의 의무
제8조(치과의 의무)
(1) 치과는 시스템 점검 및 서비스 개발, 통신장애, 기타 불가항력적인 사고 등 특별한 사정이 없는 한 이 약관 및 동의서가 정한 바에 따라 지속적으로 안정적인 서비스를 제공할 의무가 있습니다.
(2) 치과는 이용자의 신용정보를 포함한 개인신상정보의 보안에 대하여 기술적 안전 조치를 강구하고 관리에 만전을 기함으로써 이용자의 정보보안에 최선을 다합니다.
(3) 회원은 언제든지 자신의 개인정보를 열람할 수 있고 치과 또는 정보관리책임자에게 잘못된 정보에 대한 정정을 요청할 수 있습니다.
제9조(이용자의 의무)
(1) 이용자는 서비스를 이용할 때 다음 각 호의 행위를 하지 않아야 합니다.
a. 신청 또는 변경 시 허위내용의 등록
b. 본인 이외의 생년월일 및 비밀번호를 부정하게 사용하는 행위
c. 홈페이지에 게시된 정보의 변경
d. 서비스를 이용하여 얻은 정보를 회원의 개인적인 이용 외에 복사, 가공, 번역, 2차적 저작 등을 통하여 복제, 공연, 방송, 전시, 배포, 출판 등에 사용하거나 제3자에게 제공하는 행위
e. 타인의 명예를 손상시키거나 불이익을 주는 행위
f. 치과의 저작권, 제3자의 저작권 등 기타 권리를 침해하는 행위
g. 공공질서 및 미풍양속에 위반되는 내용의 정보, 문장, 도형, 음성 등을 타인에게 유포하는 행위
h. 범죄와 결부된다고 객관적으로 인정되는 행위
i. 서비스와 관련된 설비의 오동작이나 정보 등의 파괴 및 혼란을 유발시키는 컴퓨터 바이러스 감염 자료를 등록 또는 유포하는 행위
j. 서비스의 안정적 운영을 방해할 수 있는 정보를 전송하거나 수신자의 의사에 반하여 광고성 정보를 전송하는 행위
k. 기타 관계법령 및 치과규정에 위배되는 행위
(2) 제1항에 해당하는 행위를 한 회원이 있을 경우 치과는 본 약관 제7조 제2항에서 정한 바에 따라 회원의 회원자격을 적절한 방법으로 상실시킬 수 있습니다.
(3) 회원은 그 귀책사유로 인하여 치과나 다른 회원이 입은 손해를 배상할 책임이 있습니다.
(4) 이용자는 서비스 이용 시 아이디와 비밀번호 사용에 대한 다음과 같은 의무를 이행해야 합니다.
a. 이용자는 치과 홈페이지 서비스를 이용하는 경우, 본인의 아이디 및 비밀번호를 사용해야 합니다.
b. 아이디와 비밀번호에 관한 모든 관리의 책임은 이용자에게 있습니다.
c. 이용자는 자신의 아이디 및 비밀번호를 제3자에게 이용하게 해서는 안됩니다.
d. 이용자의 아이디 및 비밀번호의 관리의 부실로 인한 모든 책임은 이용자가 부담합니다.
e. 이용자는 아이디 및 비밀번호를 도난당하거나 제3자에게 사용되고 있음을 인지한 경우에는 바로 치과에 통보하고 치과의 안내가 있는 경우에는 그에 따라야 합니다.
제6장 기타
제10조(공개게시물의 삭제 등)
이용자의 공개게시물의 내용이 다음 각 호에 해당하는 경우“치과”는 이용자에게 사전 통지 없이 해당 공개게시물에 대하여 접근제한 게시중단 및 삭제 등을 할 수 있고, 해당 이용자의 회원 자격을 제한 정지 또는 상실시킬 수 있습니다.
a. 권리자가 관련법이 정한 절차에 따라 해당 게시물의 게시중단 및 삭제 등을 요청한 경우
b. 이용자 또는 제3자의 명예를 훼손시키는 등, 타인의 권리를 침해하는 경우
c. 공서양속에 위반되는 경우
d. 범죄행위와 관련이 있다고 판단되는 경우
e. 광고성 또는 상업적 목적이 두드러진 경우
f. 종교적 정치적 분쟁을 야기하는 내용으로서 이러한 분쟁으로 인하여 치과의 업무가 방해되거나 방해되리라고 판단되는 경우
g. 정보통신망법 저작권법 등, 관련 법률에 위반되는 경우
제14조(저작권의 귀속 및 이용제한)
(1) 치과는 작성한 저작물에 대한 저작권 기타 지적재산권은 치과에 귀속합니다.
(2) 이용자는 홈페이지를 이용함으로써 얻은 정보를 치과의 사전 승낙 없이 복제, 송신, 출판, 배포, 방송 기타 방법에 의하여 영리목적으로 이용하거나 제3자에게 이용하게 하여서는 안됩니다.
제11조(분쟁해결)
(1) 치과와 이용자는 서비스와 관련하여 발생한 분쟁을 원활하게 해결하기 위하여 필요한 모든 노력을 하여야 합니다.
(2) 치과는 이용자로부터 제출되는 불만사항 및 의견은 우선적으로 그 사항을 처리합니다. 다만, 신속한 처리가 곤란한 경우에는 이용자에게 그 사유와 처리일정을 통보해 드립니다.
제12조(재판권 및 준거법)
(1) 치과와 이용자 간에 서비스 이용으로 발생한 분쟁에 관한 소송은 치과 주소지 관할 법원으로 합니다.
(2) 치과와 이용자 간에 제기된 소송에는 대한민국법을 적용합니다.